Aesthetic Dentistry

  • Home
  • Aesthetic Dentistry

Aesthetic Dentistry

Do you want your teeth to look straighter or brighter? At CARE INTERNATIONAL DENTAL HOSPITAL, we provide aesthetic solutions to some of the most common issues people face, such as chipped or discolored teeth. Also called cosmetic dentistry, this type of dental work improves the overall appearance of a person's teeth or gums. Dr. A Swaroop Kumar Reddy and his team use state-of-the-art treatments to change the shape, color, and alignment of the teeth to a more pleasing appearance. Learn about the newest trends in aesthetic dentistry below and contact us for your next smile appointment today.

image
Bleaching/whitening

Tooth whitening lightens teeth and helps to remove stains and discoloration. Whitening is among the most popular cosmetic dental procedures because it can greatly improve how your teeth look. Most dentists perform tooth whitening. Whitening is not a one-time procedure. It will need to be repeated from time to time if you want to maintain the brighter color.

Veeners

Dental veneers (sometimes called porcelain veneers or dental porcelain laminates) are wafer-thin, custom-made shells of tooth-colored materials designed to cover the front surface of teeth to improve your appearance. These shells are bonded to the front of the teeth changing their color, shape, size, or length.

image
image
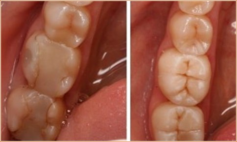
Aesthetic Inlays / Onlays

Aesthetic inlays / onlays are the common preference now over traditional amalgam filling. Many people are choosing to replace their fillings with natural-colored inlays and onlays for aesthetic reasons.